症例一覧
歯性上顎前突 【30代・女性】
上の左右と下の左右に親知らずがあり、インビザラインの治療前に親知らずの抜歯を行ってから矯正を行なったケースです。
咬合関係がⅡ級で咬合関係も治すなら右上第一小臼歯及び左上第一小臼歯の抜歯が必要でしたが、患者希望でそちらの抜歯は行わず、前歯を主に整えていくことになりました。
詳しく見る
咬合関係がⅡ級で咬合関係も治すなら右上第一小臼歯及び左上第一小臼歯の抜歯が必要でしたが、患者希望でそちらの抜歯は行わず、前歯を主に整えていくことになりました。
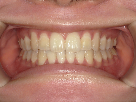
上顎中切歯の歯間離開 【20代・男性】
上の左右と下の左右に親知らずがあり、インビザラインの治療前に親知らずの抜歯を行ってから矯正を行なったケースです。
また、右上側切歯と左上側切歯は矮小歯でした。
詳しく見る
また、右上側切歯と左上側切歯は矮小歯でした。
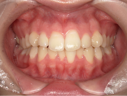
上顎中切歯の歯間離開【20代・男性】
上の左右と下の左右に親知らずがあり、インビザラインの治療前に親知らずの抜歯を勧めましたが、
患者希望で親知らず残したまま矯正を行なったケースです。
また、左下第二小臼歯先天性欠損で左下第二乳臼歯が残存しています。
詳しく見る
また、左下第二小臼歯先天性欠損で左下第二乳臼歯が残存しています。



