
あゆみ歯科クリニックのマウスピース矯正治療の流れは
動画をご覧ください。
八幡市、京田辺市、枚方市の歯科歯医者 あゆみ歯科クリニックの
インビザライン矯正は透明なマウスピースの矯正器具を使用し、
銀色の金具が見えることはありません。
だから、矯正をしていることに気づかれにくい!
①結婚式や大事な仕事などのときに、取り外せます!
インビザライン矯正は、マウスピースなので患者さまで簡単に取り外しできます。
どうしても、外したい大事なときに取り外せますので、ご安心下さい。
②歯磨きや食事制限がない
歯磨きや食事も安心。たあ、外れやすいということもなく、
大きな声を出す等の日常の仕様でマウスピースが外れることはありません。
③お掃除やむし歯治療が可能なので、安心!
他の歯列矯正より虫歯の治療がしやすく、インビザライン矯正前や途中でも
簡単な虫歯であれば治療することが可能です。
八幡市、京田辺市、枚方市の歯科・歯医者 あゆみ歯科クリニックの
インビザライン矯正は、金属のワイヤーや金具を一切使っていないため、
矯正器具の凸凹部分が少なく、着けたときの不快感を大幅に軽減!
お子様にも嬉しい矯正です。痛みも、着けたときの違和感も軽減されます!!
八幡市、京田辺市、枚方市の歯科・歯医者 あゆみ歯科クリニックでは、
診断料・分析料が0円です!無料でご相談をお受けしますので、
余計な費用が掛かりません。ですので、
「私は矯正出来るのかな…」「いきなり矯正するのは不安だな…」という方は、
まずはお気軽にご相談ください!下記フォームより予約をお受けできます。
八幡市、京田辺市、枚方市の歯科・歯医者 あゆみ歯科クリニックのインビザライン矯正は月に1回歯型を採り、
3次元画像化技術やCAD/CAM技術を活用します。
どのようになるのか3次元画像を見ていただき、ご納得の上マウスピース作成に入ります。
一つ目のマウスピースを装着後、あゆみ歯科クリニックに月1回ご来院いただいて、新しいマウスピース矯正に交換したり、
調整を行っております。週に1回ではなく月に1回ですので、通院回数は少ないです。
八幡市、京田辺市、枚方市の歯科・歯医者 あゆみ歯科クリニックの
インビザライン矯正は金属を一切使用しないポリウレタン製のマウスピースなので、
金属アレルギーの方も安心して着用できます。
矯正専門医など外部から月1回だけお呼びしている歯科医院様は多くあります。
外部の歯科医師がきているところは、特定の曜日、特定の時間しか矯正の
不具合や進行を診てもらえなかったりします。
しかし、当院では院長含めて多数の歯科医師が矯正治療が可能です!
矯正しか行っていない歯医者だと、あちこち行かなければなりません。
検診はあの歯医者、矯正だとこの歯医者となると、面倒な上に口内の
異変の発見が遅くなります。
一つの歯医者で全て行えるので、面倒な手間が省けますし、
また異変の発見にいち早く気がつけます!
透明なマウスピース型の装置のため、目立たちにくく周囲から気づかれにくい装置です。
ブラケットを装着する必要がないため、矯正後の後戻り治療にも最適な装置です。
| 矯正の種類 | ![]() ![]() ![]() |
メタルブラケット矯正
歯の表面に金属を装着する
一般的な矯正治療![]() |
リンガル矯正
歯の裏側に装置を取り付ける
目立ちにくい矯正治療![]() |
|---|---|---|---|
| 目立ちにくさ | ![]() ![]() |
歯に金具を 装着するので目立つ。 | 歯の裏側に装置をつける為、 見えにくい。 |
| 取り外しの可否 | ![]() ![]() |
装着したら 取り外し不可。 | 装着したら 取り外し不可。 |
| 痛みの少なさ | ![]() ![]() |
金属装置特有の 不快感が有り。 | 歯の裏側にあり金属装置特有の 不快感が有り。 舌や粘膜に痛みを感じる事がある。 |
| 金属アレルギー | ![]() ![]() |
金属使用している為、 金属アレルギーの方は使用できない。 | 金属使用している為、 金属アレルギーの方は使用できない。 |
| ケアのしやすさ | ![]() ![]() |
取り外しが不可の為 歯のケアが難しい | 取り外しが不可の為 歯のケアが難しい |
| 治療費用 | ![]() ![]() |
他の矯正に比べて最も安い。 | 特殊な矯正なので、 治療費が高額。 |
八幡市、京田辺市、枚方市の歯科・歯医者 あゆみ歯科クリニックのインビザライン矯正は、患者様でマウスピースを交換し治療を
進める治療なので、1カ月~3カ月間隔の通院で治療することもできます。少ない通院回数をご希望の方におすすめの矯正です。
歯の裏側に装着するリンガル矯正は目立ちにくい矯正ですが、舌や粘膜が感じる不快感が強く、
インビザラインに比べ特殊な器具を使用するため治療費が高額になります。
無料相談予約まずは、お気軽にご相談ください!
あゆみ歯科クリニックへお電話頂くかメールフォームから無料カウンセリングをご予約ください。
当院のスタッフより、患者様のご要望やどういった点が気になるか、どのように治したいか、などをしっかりとヒアリングいたします。同じような歯並びの方でも気になる点が異なったり理想形が違うと、治療器具や期間が異なることがあります。まずはお気軽にスタッフにご要望をお聞かせください。
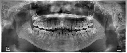
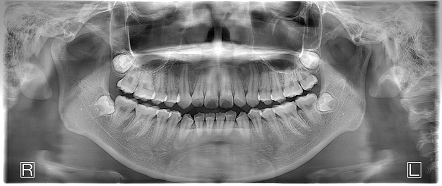
お口の中に歯周病や虫歯がある場合、矯正前にそれらを治療する必要がある場合があります。
また、歯の角度や歯の根の状態などによって動かすべき歯が変わってきたり、動かせない歯があったりします。それらを考慮せず見えている場所だけで矯正の診断を行うと、「こんなはずじゃなかったのに」という矯正失敗の原因になります。
あゆみ歯科クリニックでは、確実に皆様の歯並びをきれいにしてご満足いただけるよう、しっかりとレントゲン撮影や歯周病検査を行ってから、矯正の診断を実施いたします。
(レントゲン撮影や歯周検査は保険適用の費用が必要となります)
最新の専用機器であるiTero(アイテロ)といった光学スキャナーを使用して、歯型を採ります。スキャンした歯型から「現在の歯型」と「矯正治療完了後の歯型」を、3D化し分かりやすくシミュレーションすることができます。
(ステップ4の「無料相談・カウンセリング」時に、実際に矯正治療前後をご覧いただきます。)
初日の来院で、ここまでのステップ1~3までを主に行うこととなります。
前回のヒアリング内容やレントゲンや写真、iTeroデジタルスキャン画像を基に、矯正治療における装置の種類や期間、費用、注意事項などをご説明させていただきます。
あゆみ歯科での矯正治療の費用は「70万円(税込)と毎月の調整診断料が3.300円(税込)」と一律料金になっております。
歯並びによって値段が高くなることもなく安心です。
装置に関してもインビザライン(マウスピース矯正)、ワイヤー共に共通の料金となっています。
そのため、この日のご説明ではインビザラインで治せる歯並びかどうか、期間がどれくらいか、インビザラインを行うにあたって歯を抜いたり削ったりする必要があるかどうか、最後どのような歯並びになるか、などをお話しさせていただきます。無料にて30分ほどお時間をご用意させていただき、その後実際に矯正治療を行うかどうか決めていただきます。
しっかりとご理解・ご納得されてから治療にはいりますので、ご安心ください。
iTero(アイテロ)で再度スキャンして、正式な歯型を採取します。
この段階で治療費(70万円)の半額を頂戴しております。
実際に何個のマウスピースで治るかなどの最終決定ボタンを患者様立会いのもと、押させていただきます。
インビザライン開始
1つ目のマウスピースが到着し、装着するタイミングで治療費(70万円)の残り半額を頂戴します。
通院
1か月に1回ご来院いただき、2セットずつお渡しいたします。
ご自身で2週間に1回取り換えていただきます。
飲食や歯磨き以外の時間は1日20時間以上使っていただきます。
月に1回ご来院いただいた際には、インビザライン使用状況、口腔内の状態をあゆみ歯科クリニック歯科医師が確認し、アタッチメントの装着などを行います。
お口の状態によって異なりますが、治療期間の目安は約半年~2年です。
すべてのマウスピースの装着が完了し、歯並びが改善されましたら装着時間を減らして保定用のマウスピースを装着し歯列を安定させます。
歯列が元の位置に戻らない様に約1~3年間歯列を安定させる期間です。

iTeroとは、マウスピース型矯正装置のインビザライン専用の光学スキャナーです。
光を照射して、歯型を採取することができ、スムーズ、ノンストレス、精密な治療が可能となりました。
今までの歯型採取は、シリコンを口に入れて行っており、患者様によっては嘔吐反射(吐き気)がありました。
しかし、光学スキャナーは光を歯に照射するだけで歯型を採ることできます。
iTeroでスキャンをすると、矯正治療前(現在の歯型)と矯正治療後の歯型をご覧いただくことができます。
矯正治療開始前に、ゴールがわかりますので、ご納得いただいた上で、矯正治療を始めることが出来ます。
今までは、採った歯型を模型にして、アメリカに送っておりました。(インビザラインの会社アライン・テクノロジーがアメリカのため)
しかし、iTeroであればスキャンしたデータをアメリカに送るだけで良いので、治療開始までの期間を短縮することが出来ます。
当院では、無料でスキャンして矯正治療前後をお見せします。歯並びが気になる方、是非一度お問い合わせください。

精密検査料
診断・分析料
装置料(インビザライン)
\ すべて含んで /
(税込 700,000円)
当院は低価格で
インビザラインの治療を
行っております。
(他院での費用は80万円~120万円ほど)
※土曜日をご希望の方は+5万円
※保定装置の追加作成は1個3,300円
「安いから品質が低い?」
「安いから治療が不安・・・」
というお声をお聞きします。
ただ、当院が低価格に出来ている理由は、
多くの患者様に治療を
ご受診いただいているためです。
そのため、無駄なコストをカットすることができ、治療費用を抑えることができます。
また、症例数が豊富なため、より安全でより安心な治療を行うことが可能です。
当院では、「株式会社オリエントコーポレーション(Orico:オリコ)」と提携し、
「安心プラン」というお支払い方法をご用意しております。
安心プランとは、ご自身に合った金額で分割払いできるデンタルローンです。
- 選べる返済プラン(最大60回)
- 12回払いまで当院が金利負担(無金利)
- 実質年率5.9%と低金利
- スマホで簡単申込
「12回払い」までは、
当院で金利を負担します。
| 12回払い | 24回払い | 36回払い | 48回払い | 60回払い | ||
| インビザライン (診断料込み) | 初回 | 58,700円 | 33,129円 | 23,491円 | 16,757円 | 13,526円 |
|---|---|---|---|---|---|---|
| 2回目以降 | 58,300円 | 30,900円 | 21,200円 | 16,400円 | 13,500円 | |
年率5.9%(12回払いまで0%)
頭金0円/ボーナス併用なし の場合。
※年率は申請時に確定しますので、
変動する可能性があります。
医療費控除ってなに?
医療費控除とは患者様本人、またはご家族全員の1年間の医療費の
合計が10万円を超えた場合に一定の金額が返還される制度です。
(返還される金額は下の式を参考にして下さい。)
申請の時期は確定申告と同じ2月~3月で、申請時には次のものが必要になります。
- 源泉徴収票
- 医療費の領収書・明細書
- 印鑑
- 通帳
- 医療費のうち保険金などで補てんされている 金額が分かるもの
医療費控除でどれくらい
返ってくるの?
医療費控除で返還される金額は、
1年間の所得額から扶養控除や配偶者控除を引いた金額(課税所得額)と
1年間の医療費の合計によって決まります。
返還される金額は下の式によって計算することができます。
医療費控除を適用するために確定申告をすると、所得税だけでなく住民税も安くなります。
住民税のために追加で手続きをする必要はありません。
所得税の還付金
(医療費合計 - 保険の補てん金額 - 10万円)× 所得税率
住民税の減税額
(医療費合計 - 保険の補てん金額 - 10万円)× 10%
医療費控除で実際の治療費はどうなるの?
※あくまで目安となります。
| 年収 | 給与所得 | インビザライン 治療費 (税込) | 所得税の還付額 + 住民税の減税額 | インビザライン 実質治療費 |
|---|---|---|---|---|
| 3,000,000 | 2,020,000 | 700,000 | 120,000 | 580,000 |
| 4,000,000 | 2,760,000 | 120,000 | 580,000 | |
| 5,000,000 | 3,560,000 | 180,000 | 520,000 | |
| 6,000,000 | 4,360,000 | 180,000 | 520,000 | |
| 8,000,000 | 6,100,000 | 180,000 | 520,000 | |
| 10,000,000 | 8,050,000 | 198,000 | 502,000 | |
| 15,000,000 | 13,050,000 | 258,000 | 442,000 | |
| 20,000,000 | 18,050,000 | 300,000 | 400,000 |
皆さん、こんにちは。
あゆみ歯科クリニックの院長、福原隆久です。
当院では、あふれる笑顔をすべての人にをモットーに、ずっときれいな笑顔でずっとおいしく食事をしていただけるよう診療に取り組んでいます。
きれいな笑顔やおいしい食事をずっとしていくためには、きれいな歯並びというのは本当に大切ですよね。
やはり歯並びががたがたしていたり、出っ歯だったり、受け口だったりしてしまうと、何かちょっと笑顔が出にくかったり、人とお話するときに口元を隠してしまったり、ちょっと自分に自信を持って笑ったりお話をしたりできないなということもあるのではないでしょうか。
また、歯並びが悪いと、見た目だけではなく将来虫歯や歯周病に非常になりやすくなってしまいます。
でこぼこしている歯並びのところに汚れが詰まりやすくて、そこから穴が開いてきて虫歯になったり、その汚れがそのままになっていると、歯周病といって歯周病菌が歯の骨を溶かしていってしまって、30歳40歳50歳になったときに歯がぐらぐらしてきてしまって抜けてしまいます。そうでなくても、歯並びががたがたしていると、そこにものが詰まったりして食べにくかったりすることもありますよね。
そのような問題を解決するために、矯正治療というのは非常に良い方法で、見た目がきれいになることはもちろん、食事などもずっとおいしくすることができるようになりますし、虫歯や歯周病の予防にも非常に効果が高いです。
やはりきれいでするっとしているいい歯並びのほうが、虫歯や歯周病になる可能性は非常に低いからです。
そうはわかっていても、矯正治療をしようとなると、ブラケット(針金)がついてしまって見た目もよくないし、普段お仕事や人前に出る立場であったり、あるいは学校に行くときもみんなの目が気になってしまったり、あとスポーツをするときに邪魔になってしまわないかな、なんてすごく不安になったりしますよね。
やはり、昔ながらのワイヤー矯正治療だと、ブラケット(針金)が見えることもそうですが、自分自身の感覚でもブラケット(針金)が頬に当たって口内炎ができやすかったりとか、ブラケット(針金)が取れてまた何回も歯医者さんに行かなきゃいけなかったりとか、そういうこともあったりしました。
でも、ご安心ください。このインビザラインであれば、そういった心配はありません。
ほかの人から見えない透明のクリアマウスピース矯正であることはもちろん、ぷちぷちした表面の突起もほとんどないため、まず人から見た目が気になってしまうであるとか、お仕事中に営業先の人に見られてちょっと困るとか、人前に出る仕事だから困るとか、そういうこともありません。
学校などであれば、隣の席の人も自分から言わなければなかなか気づかないぐらい、学校の先生がしてても気づかないぐらいです。
今では、多くの芸能人の方々も取り組まれています。
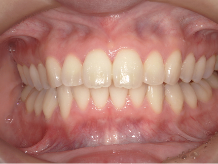
また、治るペースも、従来のワイヤー矯正と比べて昔は少し遅かったりしたのですが、今は遜色ないぐらい、ほとんど同じペースで治るようなってきました。早く治り、また見た目も非常にきれいな矯正治療というふうに言えると思います。
当院ではこのインビザライン矯正治療に多く取り組んでおり、多くの方の笑顔を作り出していったり、ずっとおいしい食事をしていただく環境を整えていっていければなと思って取り組んでいます。
そういう私も昔は矯正治療をしていました。中学校の1年生から始めて高校2年生ぐらいまで行っていたのですが、私の場合は出っ歯でちょっとがたがたもしていたというパターンだったのですが、歯を4本抜いてワイヤーをかけて3年ちょっとやっていたんですけど、やっぱりやっている間、最初中学生とかになると友達に見られるの嫌だなっていう思いもやっぱりありましたし、ちょっとやっぱりざらざらしたりとか、ちょっと唇が痛かったり、あと針金が口の奥にさわってちょっと痛かったりとかしました。
都度都度やっぱり歯医者さんに行くことも、当時中学生でしたがそれでもやっぱり学校が終わって歯医者さん行かなきゃいけないってなると少し煩わしいなとか、そういうのもやっぱりありました。
私の時代にもしこのインビザラインがあればすごくよかったなと今でも思いますし、最初にこのインビザラインの勉強をしたとき、こういうのだったらきっと多くの方に喜んでもらえるのではないかなというふうに思い、私自身勉強をして取り組んでいったことを覚えています。
矯正治療を行うことで、先ほどの虫歯や歯周病になりにくいお口の中を作ることはもちろんですし、それによって将来何十歳になったときにたくさんの歯が残って、入れ歯とかそういうことになりにくい、そういうふうなお口の中を作ることができると思います。
もちろん、笑顔でずっといやすくなると思いますので、今ままでよりも人と話すのが楽しくなったとか、友達がたくさんできたとか、ちょっと会社でいい成績が出るようになって昇進したとか、そういう人も実際におられます。
また、ご飯を食べやすくなって噛みやすくなったから旅行に行くのが楽しくなったとか、そういう方も大勢いらっしゃいます。
あゆみ歯科クリニックでは、インビザラインを含め、多種多様の矯正治療に取り組んでおりますので、それによって皆様のきれいな笑顔を作るお手伝いであるとか、ずっとおいしい食事をできるお手伝いっていうのをしていければ幸いです。
それによって多くの方々の笑顔を作り出していければ、自分にとっても非常に嬉しいです。
長文をお読みいただきありがとうございます。
まずは、ご相談ください。
当院は、キッズルームも完備した完全バリアフリーの歯科医院です。ベビーカーやお子様連れの方、車いすをご利用の方等、どなたも通いやすい環境づくりに努めています。 また、治療中における患者様のプライバシーと、リラックスしながら治療を受けていただくための環境づくりに配慮し、診察室は設計の段階から徹底的にこだわり抜き、リゾートのように明るく開放的な完全個室を採用しています。
-
- あゆみ歯科クリニック
松井山手 -

〒614-8297 京都府八幡市欽明台西31-8
松井山手幹線沿い
コストコ向かい

- あゆみ歯科クリニック
-
- あゆみ歯科クリニック
長尾駅前 -

〒573-0163 大阪府枚方市長尾元町5-21-6 長栄ビル1F
JR長尾駅から
徒歩10秒

- あゆみ歯科クリニック
-
- あゆみ歯科クリニック
京田辺花住坂 -

〒610-0352 京都府京田辺市花住坂2丁目1-1
JR松井山手駅から
徒歩10分

- あゆみ歯科クリニック
-
- あゆみ歯科クリニック 京田辺同志社山手
-

〒610-0315 京都府京田辺市同志社山手1丁目1番地1 フォレストモール京田辺内
三山駅から
徒歩15分

-
- 京橋
あゆみ歯科クリニック -

2024年9月OPEN 〒534-0024 大阪府大阪市都島区東野田町2丁目9-23 晃進ビル地下1階
京橋駅から
徒歩1分

- 京橋
-
- ピノデンタルオフィス
枚方長尾 -

〒573-0103 大阪府枚方市長尾荒阪1丁目2890-1
長尾駅から
徒歩8分

- ピノデンタルオフィス
※イビザライン以外の矯正治療も対応可能です。
※矯正だけでなく、ホワイトニングも併用できます。
こちらの予約フォームは当院に初めて来られる患者様専用のフォームとなっております。
いつも当院に来られている患者様は大変お手数ですが、お電話でご予約を行ってください。
必要事項をご記入の上送信してください。送信後、すぐに確認メールが届きます。
入力日から3日以内のご予約は受付出来ませんのでご了承ください。
お急ぎの場合はお電話でご予約の上ご来院ください。
各院ごとに診療時間・電話番号が異なるため、
上記「医院の地図・診療時間」をご覧頂いて
お電話いただけますと幸いです。
お問い合わせフォームを利用しての営業・広告メールの送信はおやめください。






































































