コンテンツへスキップ
八幡市、京田辺市、枚方市、大阪市都島区京橋にある歯科・歯医者|痛みが少ない・目立ちにくいマウスピース型矯正|インビザライン
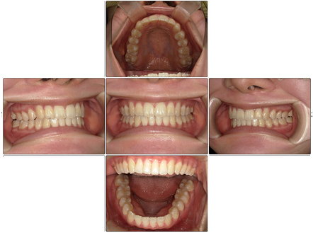
切端咬合・下顎叢生【20代・女性】
お口の中全体の写真
Before
After
- 治療名
- マウスピース矯正(インビザライン)
- 治療費用総額
- ¥700,000
- 治療費用詳細
- ¥700,000(検査・診断、手術関連処置費用含む)
※月1回の調整費¥3,300は除く
- 総治療期間
- 10か月、来院回数13回
- 治療に関する情報
- 上の左右と下の左右に親知らずがあり、インビザラインの治療前に親知らずの抜歯を行ってから矯正を行なったケースです。
- 患者の症状
- 上下の前歯ガタガタ、特に下の前歯のガタガタが気になるということで矯正治療の相談をされた方です。
- 治療方法
- 光学スキャナーにより歯並びや噛み合わせのスキャンを行い、患者個人の歯列に合わせた治療計画がシミュレーションされます。
それを元にしたインビザラインのマウスピースを作製し、それを装着してもらいます。
マウスピースは約2週間ごとに新しい物に交換することで少しずつ歯が動いていきます。
歯をしっかり動かすために歯を動かす隙間をつくるIPRを行い、マウスピースによる力を効果的にするために歯の表面にアタッチメントを装着していきます。
歯の動き方に問題がないかやインビザラインの状況などの確認のために月に1回来院してもらいます。
インビザラインによる歯の移動が終了したらアタッチメントを取り除き、後戻り防止に保定用マウスピースを就寝時してもらいます。
- 治療結果
- 上の出っ歯は矯正治療前よりもひっこみ、前歯が全体的に整って綺麗な歯並びとなりました。
- その他
- 治療期間中に歯周病にならないように定期的な口腔内のクリーニングを行っています。
- リスク・副作用
- 歯を動かすことによる一時的な痛み・違和感、治療期間が伸びる可能性、矯正終了後に後戻りのリスク
治療計画によってはIPRという歯間エナメル質を一層削ることがある
一覧に戻る