上顎中切歯の歯間離開 【20代・男性】

治療前後の比較

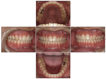
Before

before1枚目before2枚目

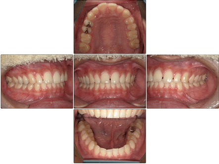
After

after1枚目after2枚目

お口の中全体の写真

Before

お口の中全体の写真Before

After

お口の中全体の写真After
治療名
マウスピース矯正(インビザライン)
治療費用総額
¥700,000
治療費用詳細
¥700,000(検査・診断、手術関連処置費用含む)
※月1回の調整費¥3,300は除く
総治療期間
10か月、来院回数10回
治療に関する情報
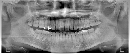
上の左右と下の左右に親知らずがあり、インビザラインの治療前に親知らずの抜歯を行ってから矯正を行なったケースです。
また、右上側切歯と左上側切歯は矮小歯でした。
患者の症状
上の前歯がすきっ歯なのが気になるということで矯正治療の相談をされた方です。
上の前歯の出っ歯以外にも上下の前歯に叢生を認め、咬合関係のズレも認めました。
治療方法
光学スキャナーにより歯並びや噛み合わせのスキャンを行い、患者個人の歯列に合わせた治療計画がシミュレーションされます。
それを元にしたインビザラインのマウスピースを作製し、それを装着してもらいます。
マウスピースは約2週間ごとに新しい物に交換することで少しずつ歯が動いていきます。
歯をしっかり動かすために歯を動かす隙間をつくるIPRを行い、
マウスピースによる力を効果的にするために歯の表面にアタッチメントを装着していきます。
歯の動き方に問題がないかやインビザラインの状況などの確認のために月に1回来院してもらいます。
インビザラインによる歯の移動が終了したらアタッチメントを取り除き、後戻り防止に保定用マウスピースを就寝時してもらいます。
治療結果
上のすきっ歯は矯正治療前よりも閉鎖され、前歯が全体的に整って綺麗な歯並びとなりました。
その他
治療期間中に歯周病にならないように定期的な口腔内のクリーニングを行っています。
リスク・副作用
歯を動かすことによる一時的な痛み・違和感、治療期間が伸びる可能性、矯正終了後に後戻りのリスク
治療計画によってはIPRという歯間エナメル質を一層削ることがある
一覧に戻る