コンテンツへスキップ
八幡市、京田辺市、枚方市、大阪市都島区京橋にある歯科・歯医者|痛みが少ない・目立ちにくいマウスピース型矯正|インビザライン
過蓋咬合 【10代・男性】
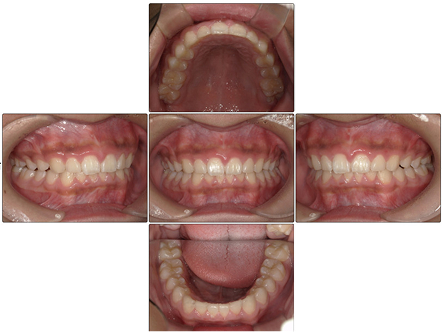
お口の中全体の写真
Before
After
- 治療名
- マウスピース矯正(インビザライン)
- 治療費用総額
- ¥700,000
- 治療費用詳細
- ¥700,000(検査・診断、手術関連処置費用含む)
※月1回の調整費¥3,300は除く
- 総治療期間
- 12か月、来院回数13回
- 治療に関する情報
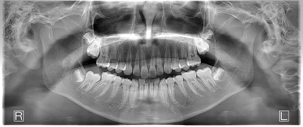
- 上の左右と下の左右に親知らずがレントゲン上で埋伏していましたが、年齢が若いため抜歯を行わずに矯正を行なったケースです。
- 患者の症状
- 学校の歯科検診で【歯並び悪い】とチェックがあったため矯正相談された方です。診察したところ下の前歯部に叢生を認め、前歯部に過蓋咬合(ディープバイト)で咬合関係の不正も認めました。
- 治療方法
- 光学スキャナーにより歯並びや噛み合わせのスキャンを行い、患者個人の歯列に合わせた治療計画がシミュレーションされます。
それを元にしたインビザラインのマウスピースを作製し、それを装着してもらいます。
マウスピースは約2週間ごとに新しい物に交換することで少しずつ歯が動いていきます。
歯をしっかり動かすために歯を動かす隙間をつくるIPRを行い、マウスピースによる力を効果的にするために歯の表面にアタッチメントを装着していきます。
歯の動き方に問題がないかやインビザラインの状況などの確認のために月に1回来院してもらいます。
インビザラインによる歯の移動が終了したらアタッチメントを取り除き、後戻り防止に保定用マウスピースを就寝時してもらいます。
- 治療結果
- 上下の叢生は改善され、過蓋咬合だった咬合関係も治って綺麗な歯並びとなりました。
- その他
- 治療期間中に歯周病にならないように定期的な口腔内のクリーニングを行っています。
親知らずは20歳前後になったら抜くように説明しています。
- リスク・副作用
- 歯を動かすことによる一時的な痛み・違和感、治療期間が伸びる可能性、矯正終了後に後戻りのリスク
治療計画によってはIPRという歯間エナメル質を一層削ることがある
一覧に戻る